GMS Mangal Clinic & Diagnostics|Kaonli,Dehradun

Ankylosing Spondylitis Awareness

Dr. Archit Agarwal, Consultant Joint Replacement Surgeon in Dehradun, is actively promoting awareness about Ankylosing Spondylitis, a progressive cond...

GMS Mangal Clinic & Diagnostics|Kaonli,Dehradun

Advanced Obstetric Doppler Services | Dr. Deepti Agarwal

Dr. Deepti Agarwal, Consultant Radiologist in Dehradun, offers advanced Obstetric Doppler ultrasound services at GMS Mangal Clinics & Diagnostics,...

GMS Mangal Clinic & Diagnostics|Kaonli,Dehradun

NT & NB Prenatal Screening Expert | Dr. Deepti Agarwal

Dr. Deepti Agarwal, an Expert Consultant Radiologist at GMS Mangal Clinic and Diagnostics, Dehradun, emphasizes the importance of the NT & NB scan...

GMS Mangal Clinic & Diagnostics|Kaonli,Dehradun

Hysterosalpingography (HSG) by Female Radiologist in Dehradun | GMS Mangal Clinic & Diagnostics

  GMS Mangal Clinic & Diagnostics, under the continued expertise of Dr. Deepti Agarwal Consultant Radiologist in Dehradun, has been providin...

GMS Mangal Clinic & Diagnostics|Kaonli,Dehradun

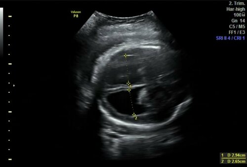
Case Study | Early Detection of Fetal Hydrocephalus | Dr. Deepti Agarwal

At GMS Mangal Diagnostics, a routine Level II Anomaly Scan revealed a critical finding: the presence of fetal hydrocephalus, characterized by an abnor...

GMS Mangal Clinic & Diagnostics|Kaonli,Dehradun

Dr. Deepti Agarwal Completes Advanced Fetal Echocardiography Course

We are proud to share that Dr. Deepti Agarwal has completed the Advanced Fetal Imaging Course on Fetal Echocardiography, organized by the Indian Radio...

GMS Mangal Clinic & Diagnostics|Kaonli,Dehradun

Dr. Deepti Agarwal Leads Spine Radiodiagnosis Workshop in Dehradun

Dr. Deepti Agarwal, one of the leading radiologists in Dehradun and Director of GMS Mangal Clinic & Diagnostics, recently served as the expert res...

GMS Mangal Clinic & Diagnostics|Kaonli,Dehradun

Dr. Deepti Agarwal Earns CME at Fetal USG Event

Dr. Deepti Agarwal, one of the leading radiologists in Dehradun, recently participated as a delegate in the Fetal Ultrasound CME organized by the Indi...

GMS Mangal Clinic & Diagnostics|Kaonli,Dehradun

Dr. Deepti Agarwal to Lead Radiodiagnosis Workshop on Spine in Dehradun

Dr. Deepti Agarwal, Director of GMS Mangal Clinic & Diagnostics, is excited to share her expertise at the 2-day workshop on Radiodiagnosis (X-Ray ...

GMS Mangal Clinic & Diagnostics|Kaonli,Dehradun

Dr. Deepti Agarwal Conducts Free BMD Screening Camp in Dehradun

Dr. Deepti Agarwal, one of the best radiologists in Dehradun, conducted a free Bone Mineral Density (BMD) screening camp, benefiting 37 patients by ev...

GMS Mangal Clinic & Diagnostics|Kaonli,Dehradun

Free BMD Camp at Mangal Diagnostics, Dehradun

Mark your calendar! Mangal Diagnostics in Dehradun is hosting a FREE Bone Mineral Density (BMD) Camp on 27th January 2025, from 10 AM to 1 PM and 3 PM...

?
Ask Question
AboutMyClinic
SmartSite created on AboutMyClinic.com
Site-Help | Disclaimer